EN
×
EN
  • 业务咨询

    中国:

    Email: marketing@medicilon.com.cn

    业务咨询专线:400-780-8018

    (仅限服务咨询,其他事宜请拨打川沙总部电话)

    川沙总部电话: +86 (21) 5859-1500

    海外:

    +1(781)535-1428(U.S.)

    0044 7790 816 954 (Europe)

    Email:marketing@medicilon.com

在线留言×
点击切换
Preclinical study
临床前研究

组织病理研究

在诊断过程中,组织病理诊断分析被认为是确定疾病存在及性质的金标准。在机体未表现出明显的临床症状前,通过组织病理学检查可以发现药物对机体组织器官的影响,为预防和治疗疾病提供重要参考。

在药物申报过程中,组织病理学诊断结果对于评估药物的潜在:Τ潭戎凉刂匾虼耸艿礁飨喙鼗沟母叨戎厥印8骷喙芑钩鎏ǖ闹傅荚蛞捕远唐诙拘、亚慢性毒性、慢性毒性和致癌性等试验中的组织病理学诊断提出了明确要求。HJC黄金城平台普亚作为一家综合性的CRO企业,提供了全面的组织病理学服务。

文档下载
服务内容
  • HJC黄金城平台普亚提供的组织病理学服务包括:
    病理诊断:
    对多种属动物提供病理诊断服务,包括但不限于大鼠、小鼠、豚鼠、兔、犬、非人灵长类及小型猪等;
    对多种类型毒性研究试验包括短期毒性试验、亚慢性毒性试验、慢性毒性试验及致癌性研究等拥有丰富的诊断经验;
    针对客户提出的特殊组织脏器诊断需求,提供专业的解决方案,满足申报要求。
    染色技术:
    提供常规的石蜡切片、H&E染色诊断;
    提供冰冻切片、特殊染色、免疫组织化学染色及组织交叉反应(TCR)等诊断服务,满足客户对特定试验的组织观察需求。
    HJC黄金城平台病理学研究实验平台.jpg
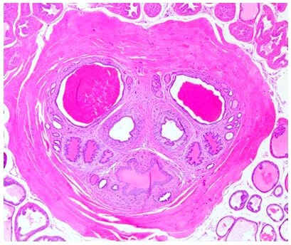
  • H&E
    HE染色.png
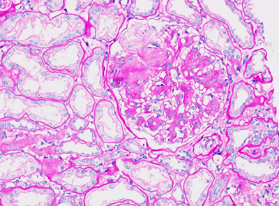
  • 特殊染色
    特殊染色-番红固绿染色.jpg特殊染色-PAS染色.png
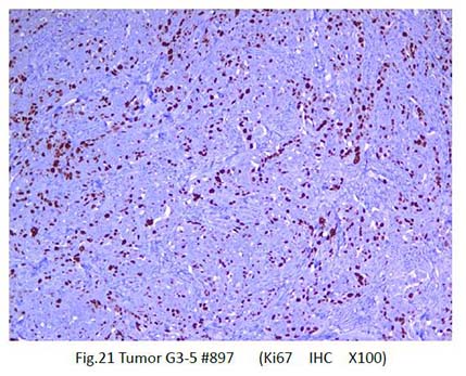
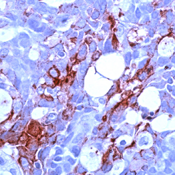
  • 免疫组化染色
    免疫组化染色1.png免疫组化染色2.png
  • 组织交叉TCR
    组织交叉反应(Tissue Cross-Reactivity)是用于体外检测抗体药物与组织抗原表位结合的试验。其目的是确认受试抗体是否与靶组织抗原特异性结合,并检测抗体是否与非靶组织抗原发生交叉反应,从而为选择非临床安全性试验的动物种属及预测潜在毒性靶器官提供重要参考。
组织病理学研究仪器
  • 组织病理学研究涉及多种仪器设备,这些设备用于组织样本的制备、染色、观察和分析
    目前,我司用于诊断的显微镜多为OLYMPUS光学显微镜,每台显微镜配有相应的成像系统,可满足客户对于特殊组织病理学改变的拍摄要求;此外,多头OLYMPUS光学显微镜可满足多人同时对切片进行观察诊断的需求,对学习、会诊提供帮助;用于免疫荧光观察的Leica显微镜配备成像系统,能够满足客户使用免疫荧光方法检测特殊成分的需求。我司还引进了Leica Aperio GT450扫描仪,可批量扫描切片,便于数字化切片的共享和检查。

    OLYMPUS光学显微镜

    我司用于诊断的显微镜多为OLYMPUS光学显微镜,每台显微镜配有相应的成像系统,可满足客户对于特殊组织病理学改变的拍摄要求。

    多头OLYMPUS光学显微镜

    多头OLYMPUS光学显微镜可满足多人同时对切片进行观察诊断的需求,对学习、会诊提供帮助。

    Leica显微镜

    用于免疫荧光观察的Leica显微镜(带成像系统)可满足客户的对用免疫荧光方法检测特殊成分的要求。

    此外,我司引进Leica Aperio GT450扫描仪,可批量扫描切片,方便共享和检查数字化切片。

    Leica-Aperio-GT450扫描仪.png Leica--eSlide分析管理软件.png

  • HJC黄金城平台普亚目前拥有诊断经验丰富的病理学家。为了满足国内、国际对同行评议的日益重视的需求,与拥有日本毒性病理学家及美国毒性病理学家资质的专家进行长期合作,满足客户对国内外申报的需求。

    毒理病理学实验室相关能力验证合格证书

    HJC黄金城平台南汇获2024年度实验病理诊断实验室间比对最高评价.webp

    HJC黄金城平台普亚南汇园区在2024年度毒性病理形态学检查能力验证项目(NIFDC-PT-478)中,获得“优秀”评价.webp

    HJC黄金城平台南汇获毒性病理学检查能力验证最高评价.webp

相关实验室
  • 病理观察
  • 冰冻切片
  • 病理切片
  • Leica染色封片工作站
  • Leica石蜡切片机
  • Leica组织脱水机
  • Thermo冰冻切片机
  • Thermo组织包埋机
  • 组织包埋机
  • Leica-Aperio-GT450扫描仪
  • Leica--eSlide分析管理软件
  • OLYMPUS光学共揽显微镜
  • OLYMPUS光学显微镜
  • 全自动染色机
  • 组织脱水机
  • Leica荧光显微镜
相关文章
×
搜索验证
点击切换
sitemap地图