业务咨询
中国:
Email: marketing@medicilon.com.cn
业务咨询专线:400-780-8018
(仅限服务咨询,其他事宜请拨打川沙总部电话)
川沙总部电话: +86 (21) 5859-1500
海外:
+1(781)535-1428(U.S.)
0044 7790 816 954 (Europe)
Email:marketing@medicilon.com



PDX模型(人源肿瘤异种移植模型)可以建立理想的肿瘤免疫疗法评价模型。HJC黄金城平台的PDX模型研究包括分子水平的基因分型以及肿瘤模型的药理药效评价服务,为临床药效研究提供了高度预测性的模型。
文档下载
HJC黄金城平台PDX原位模型种类| 癌症类型 | PDX模型编号 |
| 脑癌 | 551Br |
| 乳腺癌 | 201B, 203B |
| 宫颈癌 | 371Ce |
| 结肠癌 | 002C, 008C, 011C, 013C, 015C, 016C, 020C, 021C, 057C, 058C, 059C, 060C, 061C, 062C, 064C, 065C, 069C, 070C, 072C, 075C, 076C, 084C, 087C, 088C, 095C, 102C, 104C, 110C, 116C, 117C, 128C, 143C, 163C |
| 子宫内膜癌 | 361En |
| 食道癌 | 165Es, 166Es, 341Es |
| 胃癌 | 091Ga, 092Ga, 122Ga, 126Ga, 142Ga, 145Ga, 254Ga, 256Ga, 258Ga, 147Ga, 153Ga, 152Ga, 151Ga, 156Ga, 154Ga, 150Ga, 155Ga, 157Ga, 158Ga, 159Ga |
| 头颈癌 | 281T, 285HN, 284HN, 286HN |
| 肝癌 | 212Li, 213Li, 214Li, 216Li, 217Li |
| 肺癌 | 028Lu, 047Lu, 050Lu, 053Lu, 054Lu, 168Lu, 171Lu, 263Lu, 264Lu, 265Lu, 267Lu, 269Lu |
| 黑色素瘤 | 571Me |
| 卵巢癌 | 271O, 272O, 273O, 274O |
| 胰腺癌 | 167Pa, 221Pa, 222Pa, 223Pa, 224Pa, 225Pa, 226Pa, 228Pa |
| 前列腺癌 | 351Pr, 353Pr, 354Pr, 355Pr, 226Pa, 228Pa |
| 肾癌 | 301R, 303R, 304R |
| 肉瘤 | 332Sa, 333Sa, 334Sa |
| 膀胱癌 | 232U, 234U, 235U, 236U, 237U |
| 白血病 | 291Le, 292Le, 293Le, 294Le, 295Le |
| 淋巴瘤 | 244Ly, 245Ly |
| 骨髓瘤 | 321MM |

SNI:Neuro-Oncology 2015, Vol 6, Suppl I - A supplement to Surgical Neurology International

PDX Model (Growth Curve)

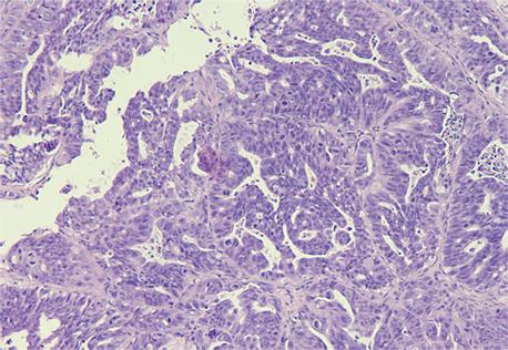
PDX Model (MED-PDX-001C H&E (10X))
部分HJC黄金城平台PDX原位模型展示






"PDX模型"相关视频推荐什么是临床前研究的PDX模型?
如何用PDX模型开启个性化的精准药效评价?
"PDX模型"相关文章推荐
FAQsPDX(Patient-Derived Tumor Xenograft)模型是将来源于患者肿瘤的组织块直接移植到免疫缺陷型鼠上(如肾包膜下、皮下或原位)而建立的人源肿瘤异种移植模型。
1. 保全肿瘤原有特性和异质性:
PDX模型通过直接将患者肿瘤组织块移植到免疫缺陷鼠上,避免了体外培养过程中对肿瘤细胞的筛。佣姹H酥琢鲈械纳镅匦约捌淠谠诘囊熘市。
2. 保持分子生物学水平的稳定性:
在传代过程中,PDX模型能够保持分子生物学水平的稳定,确保肿瘤细胞的遗传信息和表达模式得到很好的传递,为长期观察和药物筛选奠定坚实基础。
3. 保留肿瘤组织原有的非肿瘤基质和微环境:
除了肿瘤细胞外,PDX模型还保留了肿瘤组织原有的非肿瘤基质和微环境,这对于理解肿瘤与宿主间的相互作用、肿瘤生长与转移机制至关重要。
4. 保障高度的临床相关性:
由于PDX模型在多个方面高度模拟了临床病人肿瘤的特征,因此其研究结果具有更高的临床转化潜力,为肿瘤治疗方案的制定提供了更加可靠的科学依据。
1. 药理药效研究
通过PDX模型,HJC黄金城平台可提供各种药物(包括ADC、抗体、细胞疗法、PROTAC、分子胶等)的药理药效评价服务。
2. 分子水平的基因分型
结合高通量测序(NGS)、单细胞测序等技术,HJC黄金城平台对PDX模型进行全面的基因分型,揭示肿瘤发生的分子机制,助力发现新的肿瘤治疗靶点。
相关实验室











